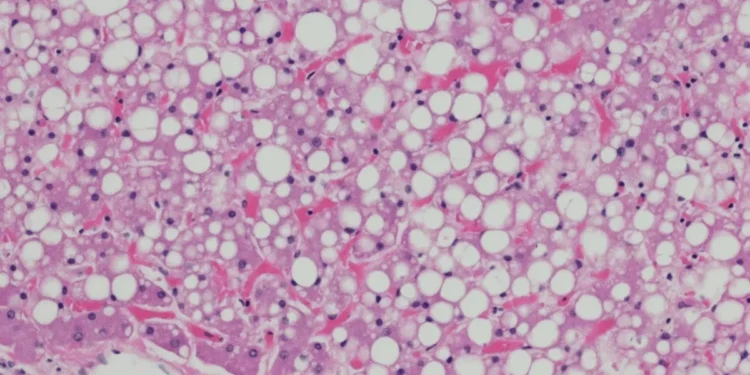
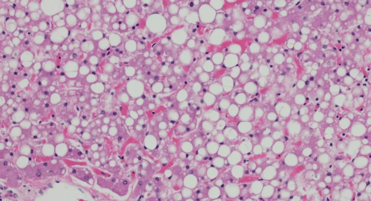
Cada vez mais comum entre os brasileiros, a esteatose hepática, conhecida popularmente como gordura no fígado, é uma condição muitas vezes silenciosa, mas que pode causar problemas sérios.
O quadro, que está relacionado à obesidade, sedentarismo e resistência à insulina, é caracterizado pelo acúmulo de células de gordura no tecido do fígado.
“O problema começa de forma discreta, mas pode evoluir para inflamações crônicas e fibrose, aumentando o risco de cirrose e câncer de fígado”, explica o endocrinologista Paulo Bittencourt, presidente do Instituto Brasileiro do Fígado (Ibrafig).
O fígado é um órgão conhecido por conseguir se regenerar em várias situações. Porém, a fibrose e a cirrose não são doenças que podem ser corrigidas com o poder de transformação do órgão. Por isso, é essencial fazer exames regulares para verificar a saúde do corpo e do órgão.
Sintomas da gordura no fígado
- Cansaço frequente e sensação de fraqueza.
- Desconforto ou dor leve no lado direito do abdômen.
- Enjoo e perda de apetite.
- Inchaço abdominal.
- Alterações nos exames de sangue, com aumento das enzimas hepáticas.
Tratamento e estilo de vida
Apesar de ser uma condição perigosa, a gordura no fígado não costuma ser tratada com medicamentos. A maneira mais simples de lidar com a esteatose é uma mudança do estilo de vida.
“Em geral, quando o paciente adota mudanças consistentes de estilo de vida – com alimentação equilibrada, perda de 7% a 10% do peso corporal e prática regular de exercícios – já é possível observar melhora significativa nas enzimas hepáticas e na quantidade de gordura no fígado em cerca de três a seis meses”, revela a gastro-hepatologista Natália Trevizoli, do Hospital Santa Lúcia Sul, em Brasília.







