Em meio à empolgação do carnaval, há quem se entregue a beijos e carinhos mais intensos. No entanto, um gesto aparentemente inofensivo pode trazer riscos à saúde. Relatos médicos apontam que a pressão exercida por um chupão no pescoço pode causar lesões que podem levar a um acidente vascular cerebral (AVC).
Na Nova Zelândia, médicos publicaram um relato em uma revista científica sobre o caso de uma paciente de 44 anos que chegou ao hospital após apresentar fraqueza e, posteriormente, evoluiu com perda de movimento no braço direito. Ao realizarem os exames, os médicos perceberam que ela tinha sinais de AVC.
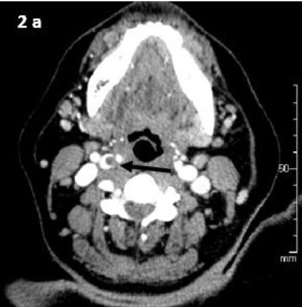
E o motivo era surpreendente: um chupão que ela tinha no pescoço.
E o caso dela não é o único: médicos também relataram o caso de uma mulher de 35 anos, na Dinamarca, que foi socorrida às pressas em meio a um AVC. O diagnóstico: ele foi causado por um chupão que ela havia levado no pescoço 12 horas antes.

Como um chupão pode evoluir para um problema no cérebro?
A reportagem conversou com especialistas, e o que eles explicam é que a pressão feita com a boca na região do pescoço causou uma lesão na artéria carótida, responsável por transportar sangue rico em oxigênio do coração para o cérebro.
O médico neurologista Felipe Aydar Sandoval, do Hospital Sírio-Libanês, explica que o nome técnico desse tipo de lesão é dissecção da artéria carótida, que é uma ruptura na parede da artéria, podendo causar sangramento e reduzir o fluxo sanguíneo para o cérebro.
A dissecção, que é essa lesão, é uma causa comum de AVC em pessoas jovens. Esses casos que vimos são mais comuns do que imaginamos, e o chupão não é o único gatilho.
Nos dois casos, as pacientes foram atendidas, hospitalizadas e receberam alta sem sequelas.
Qual a recomendação médica?
O especialista explica que esse tipo de lesão pode ocorrer devido a uma pancada em um acidente, a um chupão, mas também em muitas outras atividades do dia a dia, como natação, crossfit, prática de lutas e até andar de montanha-russa.
É mais comum do que se imagina, e na maioria dos casos passa despercebido, apenas como uma dor no pescoço, sem manifestar consequências. Mas é preciso ficar alerta após um chupão ou uma lesão para sinais como fraqueza, dormência e perda dos movimentos. Nesses casos, é preciso procurar atendimento médico.
— Felipe Aydar Sandoval, médico neurologista.
Ou seja, não há uma contraindicação, mas é preciso cuidado aos sintomas após o chupão.







